매복니: 정의, 원인, 증상 및 치료 방법
정의 및 원인
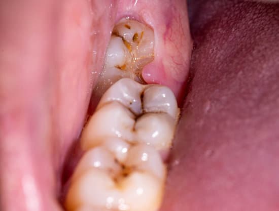
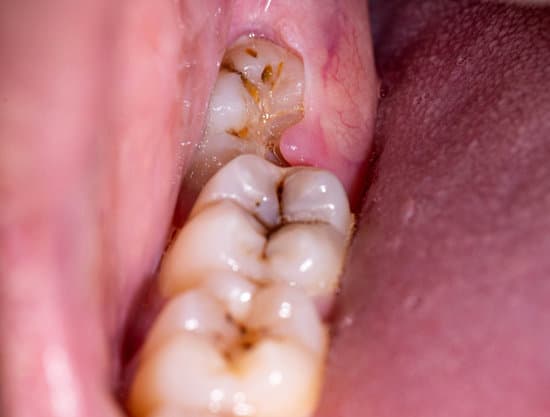
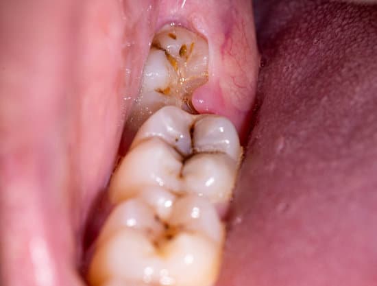
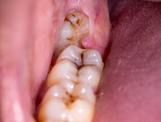
매복니(Impacted Tooth)란 잇몸이나 턱뼈 속에 갇혀 제대로 자라지 못한 치아를 말합니다.
이는 보통 사랑니(제3대구치)에서 흔하게 발생하지만, 다른 치아에서도 발생할 수 있습니다.
매복니는 다음과 같은 원인으로 인해 발생할 수 있습니다.
공간 부족: 턱뼈가 작거나 치아가 밀집되어 있어 새로운 치아가 자랄 공간이 부족한 경우.
비정상적인 각도: 치아가 비정상적인 각도로 자라면서 다른 치아나 뼈에 부딪히는 경우.
유전적 요인: 가족력에 의해 치아가 매복되는 경향이 있는 경우 .
증상
매복니는 항상 증상을 나타내지 않을 수 있지만, 다음과 같은 증상을 유발할 수 있습니다.
통증 및 불편감: 치아가 잇몸이나 주변 조직을 압박할 때 발생하는 통증.
염증 및 감염: 매복니 주변의 잇몸이 붓고 감염될 수 있습니다.
잇몸 출혈: 잇몸이 쉽게 붓고 출혈이 발생할 수 있습니다.
구취: 잇몸 염증으로 인해 구취가 발생할 수 있습니다.
씹기 어려움: 음식물을 씹거나 삼키는 데 어려움이 있을 수 있습니다.
치료 방법
매복니는 증상과 치아 상태에 따라 다양한 치료 방법이 있습니다: 관찰 및 경과 관찰
증상이 없고 합병증이 없는 경우, 정기적인 치과 검진을 통해 상태를 모니터링합니다.
치과적 관리
항생제: 감염이 있는 경우 항생제를 처방받아 염증을 줄입니다.
구강 세척: 소금물로 구강을 세척하여 감염을 예방하고 염증을 줄입니다.
수술적 치료
매복니 발치: 증상이 심하거나 합병증이 있는 경우, 치과 전문의가 매복니를 발치할 수 있습니다.
발치 후에는 몇 일간의 회복 기간이 필요합니다.
부분 발치: 치아의 일부만 제거하여 통증과 염증을 완화할 수 있습니다.
교정 치료
교정 장치: 치아가 자라야 할 공간을 만들어주는 교정 장치를 사용하여 매복니가 자연스럽게 자라도록 유도합니다.
자주 묻는 질문 (FAQ)
Q: 매복니는 반드시 발치해야 하나요?
A: 모든 매복니가 발치가 필요한 것은 아닙니다. 증상이 없고 합병증이 없는 경우 경과 관찰만으로 충분할 수 있습니다. 그러나 통증, 염증, 감염 등의 증상이 있는 경우 발치가 필요할 수 있습니다.
Q: 매복니 발치 후 회복 기간은 얼마나 걸리나요?
A: 매복니 발치 후 회복 기간은 보통 1주일 정도 걸리며, 개인의 상태에 따라 다를 수 있습니다. 수술 후에는 처방된 약물과 적절한 관리를 통해 회복을 촉진할 수 있습니다.
Q: 매복니 발치 후 어떤 주의사항이 있나요?
A: 발치 후에는 강한 운동을 피하고, 처방된 약물을 복용하며, 부드러운 음식을 섭취하는 것이 좋습니다. 또한, 구강 위생을 철저히 유지하고 정기적인 치과 검진을 통해 상태를 점검해야 합니다.
매복니는 조기에 발견하고 적절히 관리하면 합병증을 예방할 수 있습니다.
정기적인 치과 검진을 통해 상태를 확인하고, 필요한 경우 적절한 치료를 받는 것이 중요합니다.
양악 수술: 정의, 과정, 그리고 중요성
양악 수술: 정의, 과정, 그리고 중요성정의 및 목적양악 수술(Orthognathic Surgery)은 턱의 구조를 교정하여 기능적, 미용적 개선을 목적으로 하는 외과적 수술입니다.양악 수술은 주로 아래턱과 위턱
namo4.namo38.com
'건강상식' 카테고리의 다른 글
| 다이어트시 추천되는 간식 (0) | 2024.07.10 |
|---|---|
| 매복니 치료 방법 (0) | 2024.07.10 |
| 예쁜 종아리 만들기: 운동 및 생활 습관 팁 (0) | 2024.07.09 |
| 갱년기에 뱃살 줄이는 방법 (0) | 2024.07.09 |
| 여름철 피로 해소를 위한 방법 (0) | 2024.07.08 |
